Metamorfozy
Centro-dent Metamorfozy
Zdjęcia mają charakter demonstracyjny. Zaprezentowane efekty leczenia wystąpiły u tego konkretnego pacjenta, a wyniki leczenia mogą się różnić w zależności od indywidualnych cech, schorzeń pacjenta.
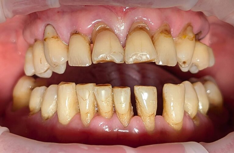
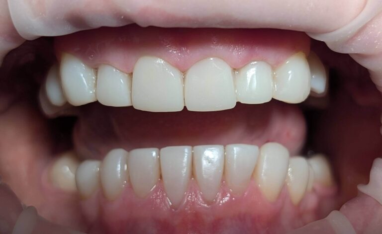
Metamorfoza 1
Kliknij, aby odkryć

Przed zabiegiem

Po zabiegu
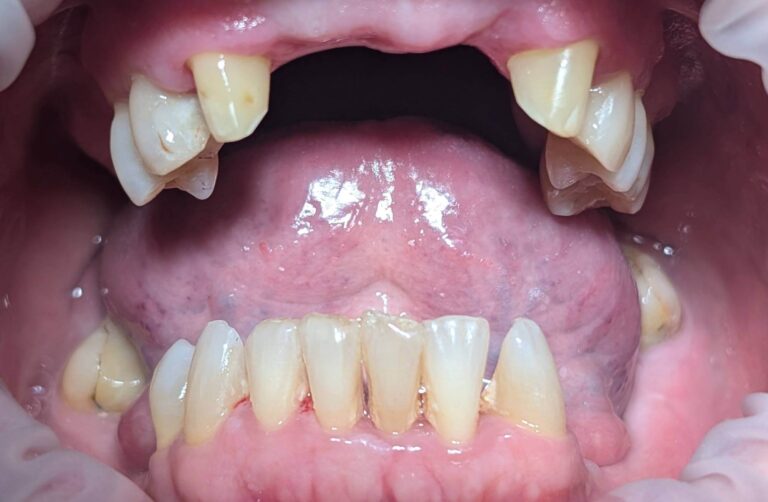
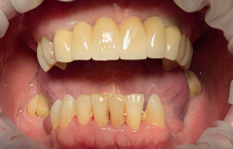
Metamorfoza 2
Kliknij, aby odkryć

Przed zabiegiem

Po zabiegu
Metamorfoza 3
Kliknij, aby odkryć

Przed zabiegiem

Po zabiegu


